At Finesse Dentistry & Implant Center, we prioritize urgent cases. Dental emergencies can be painful and frightening, but knowing how to act in the first few minutes can be the difference between saving and losing a tooth.

1. Severe Toothache (Symptomatic Irreversible Pulpitis)

When deep decay reaches the pulp (the nerve center of the tooth), it causes intense, throbbing pain that often worsens at night. Research published in The Journal of the American Dental Association (JADA) indicates that for such severe pain, over-the-counter medications like Ibuprofen (Advil) or Acetaminophen (Tylenol) are often insufficient without clinical intervention.
- Our Solution: If a full root canal appointment isn’t immediately available, we perform an Emergency Pulpotomy.
- The Science: A pulpotomy involves removing the inflamed “cameral” pulp from the crown of the tooth. Clinical studies have shown this procedure provides immediate pain relief in over 90% of cases, serving as a vital “first step” before a definitive root canal is completed (American Association of Endodontists).
2. Wisdom Tooth Pain & Pericoronitis

Wisdom teeth (third molars) often become partially trapped under the gum, creating a pocket for bacteria. This leads to Pericoronitis, an infection characterized by swelling of the cheek, jaw stiffness (trismus), and even difficulty swallowing.
- Our Solution: We provide immediate localized debridement, drainage of the infection, and antimicrobial dressing.
- Medical Note: If you experience swelling that affects your eye or makes breathing difficult, this is a medical emergency. Clinical guidelines from the HSE recommend immediate professional intervention and a course of antibiotics (such as Amoxicillin or Metronidazole) to prevent the spread of infection.
3. Dental Abscesses & Infections

A dental abscess is a collection of pus caused by a bacterial infection. If left untreated, the infection can spread to the jaw, neck, or even lead to systemic complications (Sepsis).
- Warning Signs: Fever, a persistent “salty” taste, or visible swelling on the gums.
- Immediate Action: Prompt surgical drainage and eliminating the source of infection are considered the “cornerstone” of successful management (BMJ Best Practice). We provide rapid assessment and drainage to protect your overall health.
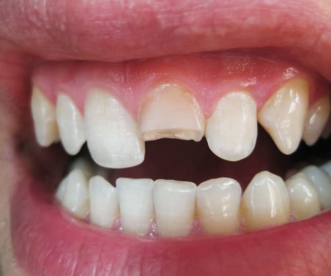
4. Broken or Fractured Teeth

Teeth with large existing fillings or those subjected to trauma are susceptible to fractures. The treatment depends on the “Ellis Classification” (depth) of the break.
- Small Chips: Can often be repaired with Composite Bonding to restore aesthetics.
- Large Fractures: May require a Crown to protect the remaining structure.
- Severe Breaks: If a fracture extends deep below the gum line (Vertical Root Fracture), the prognosis is often poor, and extraction may be necessary to prevent bone loss (StatPearls – NCBI).
5. Lost Crowns or Fillings

If a crown falls out, it exposes the sensitive underlying dentin, which can lead to rapid decay or shifting of the surrounding teeth.
- Action: If the crown is intact and the tooth underneath is healthy, we can often re-cement it immediately. If decay is present, we will treat the cavity before fabricating a new, secure restoration.
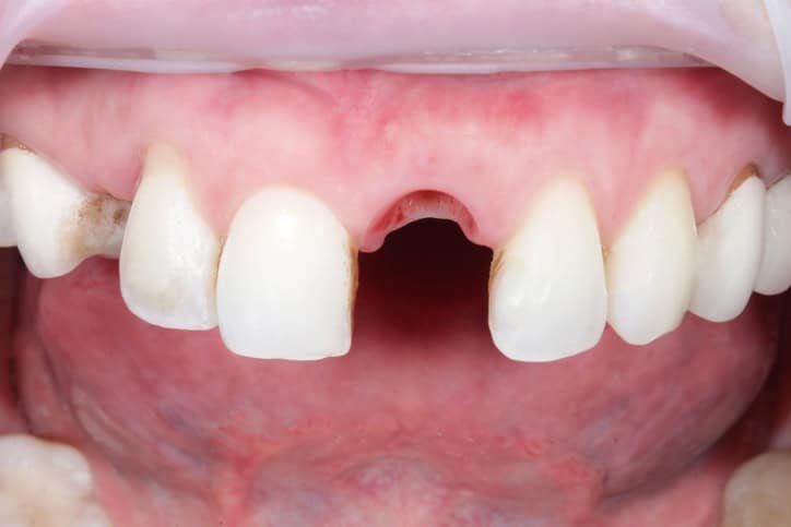
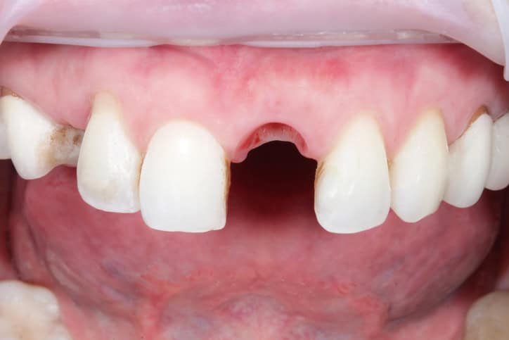
6. Knocked-Out Tooth (Avulsion)

This is the most critical dental emergency. The “Golden Hour” is vital—teeth replanted within 30 ~ 60 minutes have a significantly higher long-term survival rate (International Association of Dental Traumatology).
Immediate First Aid:
- Handle with Care: Pick up the tooth by the crown (the white part). Never touch the root.
- Rinse Gently: If dirty, rinse with water. Do not scrub or use soap.
- Re-insert: If possible, gently push the tooth back into the socket and bite on a clean cloth to hold it.
- Transport Media: If you cannot re-insert it, keep it moist. According to the American Academy of Pediatric Dentistry (AAPD), the best storage media in order of preference are:
- HBSS (Save-a-Tooth® kits)
- Cold Milk (preserves the vital root cells)
- Saliva (inside the cheek)
- Note: Do not store in plain water, as it can damage the root cells.
Are you experiencing a dental emergency? Contact Finesse Dental & Implant Center of Boston immediately. We reserve daily time slots specifically for patients in pain.
- Call or Text: (617) 286-6515
- During Business Hours: Please call us for the fastest service.
- After Hours, Weekends, or Holidays: Please text us with the subject line ‘[Dental Emergency]’.
Finesse Dental & Implant Center of Boston
617-286-6515 (Call/Text) support@FinesseBoston.com
183 Essex St, Boston, MA 02111


